En clinivision contamos con area quirúrgica donde realizamos diferentes procedimientos de subespecialidad.

Un examen de diagnóstico ocular es muy importante para detectar a tiempo la presencia de afecciones o enfermedades visuales que podrán ser corregidas o tratadas por un especialista. La importancia de un diagnóstico temprano es que previene defectos en la curvatura de la córnea, presta atención a la percepción de los colores y mide el enfoque de los objetos a menor o mayor distancia.
Un enfoque preventivo tiene como función identificar potenciales enfermedades de los ojos para que sean tratados con éxito y así evitar el deterioro en el largo plazo de la totalidad del sistema visual.
PROCEDIMIENTOS
-
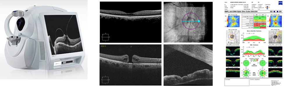
Tomografia optica coherente cirrus hd oct
-
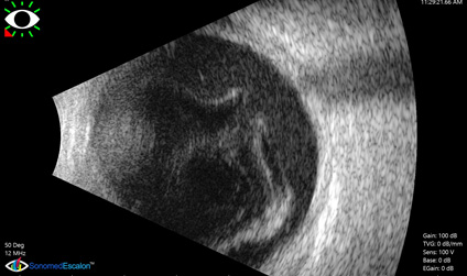
Ecografia ocular modo b
-
Ecobiometria/calculo de lentes intraoculares
-
Topografia corneal pentacam
-
Campimetria computarizada humphrey hfaii
-
Fotografia de segmento anterior y posterior
EQUIPOS DE DIAGNÓSTICO OCULAR
Contamos con equipos de última generación y tecnología de punta.






